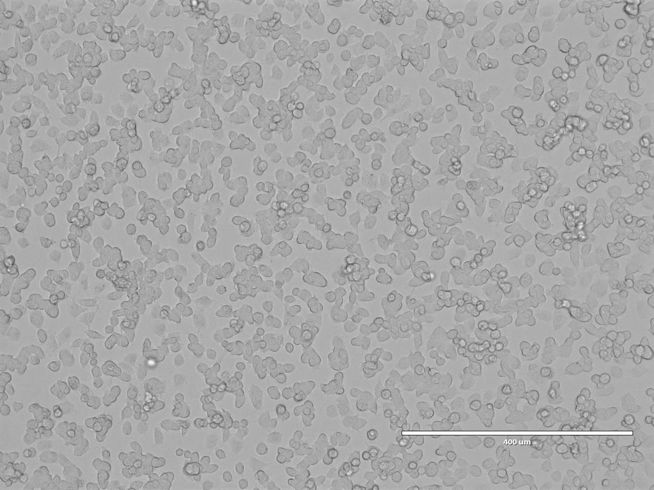
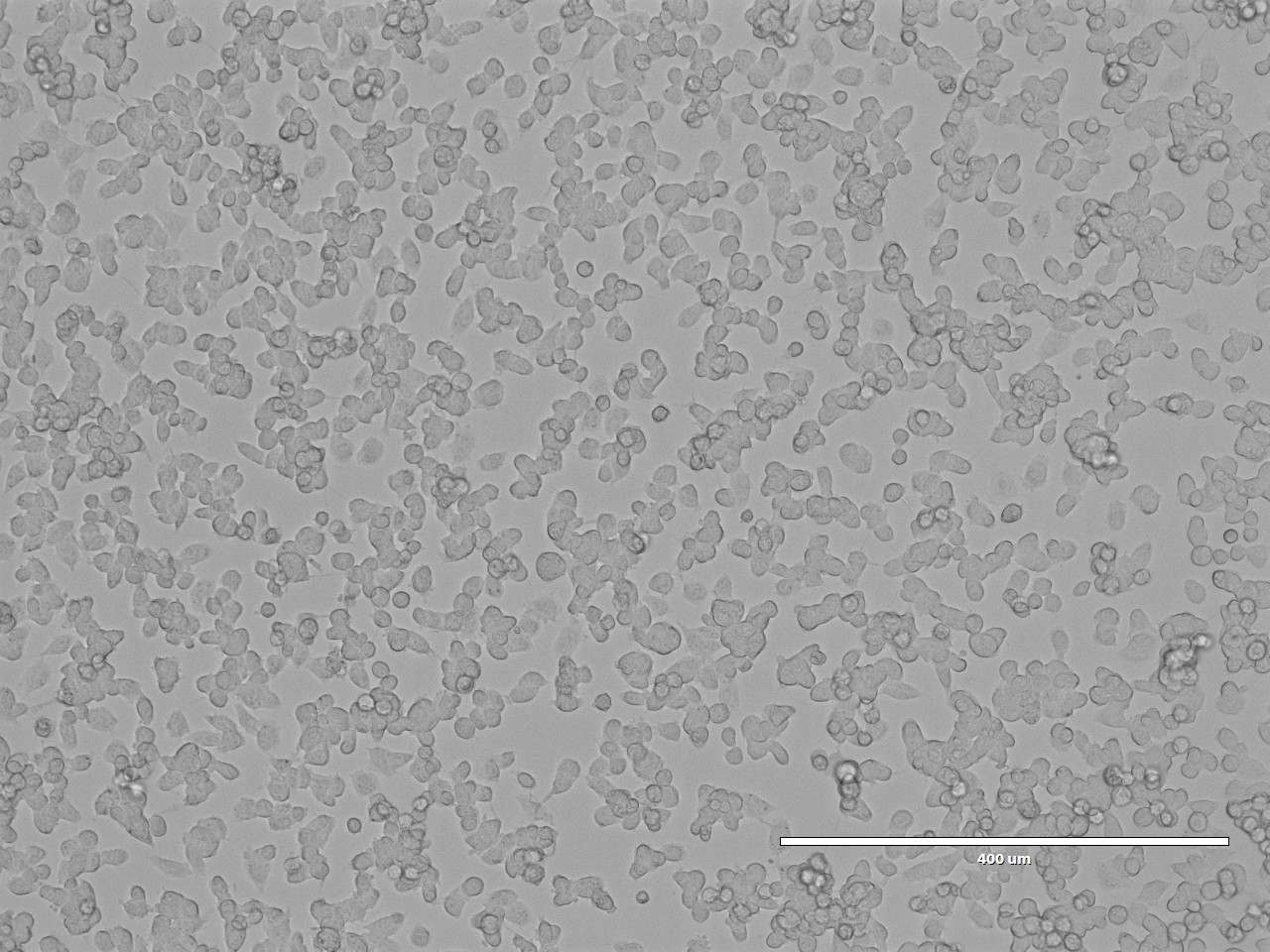
克隆Neuro-2A是由R.J.Klebe和F.H.Ruddle经A株白鼠的自生肿瘤建立。 该细胞产生大量微管蛋白,此蛋白在神经细胞中起应答轴浆流动的收缩系统作用。
| 细胞别称 | NEURO-2A; Neuro 2a; Neuro2a; Neuro2A; N-2a; N2a; N2A; Nb2a; NB2a |
| 细胞来源 | 脑神经瘤 |
| 细胞形态 | 神经细胞样、阿米巴样 |
| 细胞类型 | 肿瘤细胞 |
| 生长特性 | 贴壁生长 |
| 安全等级 | BSL1 |
| 包装规格 | T25瓶或者1mL冻存管包装 |
| 倍增时间 | 2~3天 |
| 传代比例 | 1:2-1:3(具体情况视细胞生长速度及密度决定) |
| 保藏机构 | ATCC; CCL-131 DSMZ; ACC-148 ECACC; 89121404 |
【培养保存】
培养体系:MEM+10%FBS+1%PS
培养条件:气相:空气,95%;CO2,5%;温度:37℃
冻存条件:基础培养基+10%DMSO+20%FBS,液氮保存
【传代步骤】
当细胞密度达80%-90%,即可进行传代培养。
【冻存步骤】





