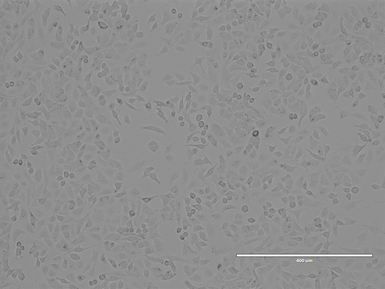
A549细胞是由D·J·Griad通过肺癌组织移植培养建系,源自于一位58岁白人男性;属于人类非小细胞肺癌细胞系,是肺癌人类肺泡基底上皮细胞,一般用于肺癌、病毒等方向的研究。
| 细胞别称 | A 549;A549;NCI-A549;hA549 |
| 细胞来源 | 肺 |
| 细胞形态 | 上皮细胞样 |
| 细胞类型 | 肿瘤细胞 |
| 生长特性 | 贴壁细胞 |
| 安全等级 | BSL1 |
| 包装规格 | T25瓶或者1mL冻存管包装 |
| 倍增时间 | 2~3天 |
| 传代比例 | 1:2-1:4(具体情况视细胞生长速度及密度决定) |
| 保藏机构 | ATCC;CCL-185;ATCC;CRM-CCL-185;ATCC;CRL-7909;CCTCC;GDC0063 |
【培养保存】
培养体系:DMEM+10%FBS+1%PS
培养条件:气相:空气,95%;CO2,5%;温度:37℃
冻存条件:基础培养基+10%DMSO+20%FBS,液氮保存
【传代步骤】
当细胞密度达80%-90%,即可进行传代培养。
【冻存步骤】





